– Risques d’une mauvaise hygiène buccale –
Pas le temps de lire ?
Une mauvaise hygiène buccale ne provoque pas seulement quelques dépôts sur les dents. Elle crée un terrain favorable à l’accumulation de plaque bactérienne, une fine couche invisible qui se forme en quelques heures si les dents ne sont pas correctement nettoyées.
Selon les connaissances actuelles en santé bucco-dentaire, cette plaque est l’origine de la majorité des problèmes dentaires : caries, inflammation des gencives et formation de tartre. Lorsque la plaque reste en place trop longtemps, les bactéries produisent des acides qui attaquent l’émail et irritent les tissus gingivaux. Les premiers signes apparaissent souvent discrètement : haleine persistante, gencives rouges ou qui saignent au brossage, sensibilité au froid ou au sucre.
Avec le temps, les risques d'une mauvaise hygiène buccale deviennent plus sérieux. La gingivite peut s’installer. Si elle n’est pas traitée, elle peut évoluer vers une parodontite. Cette maladie atteint les tissus qui maintiennent la dent dans l’os. Le résultat peut être un déchaussement progressif des dents, parfois irréversible. Les experts s’accordent sur un point : plus la plaque reste longtemps sur les dents, plus les bactéries pénètrent profondément sous la gencive, rendant les soins plus complexes.
Pourquoi une mauvaise hygiène buccale pose un vrai problème

Les risques d’une mauvaise hygiène buccale ne se limitent pas à quelques dépôts visibles sur les dents. Le problème est plus profond. La bouche est un environnement vivant où des millions de bactéries se développent naturellement. Lorsqu’elles ne sont pas éliminées régulièrement par le brossage et le nettoyage interdentaire, elles forment une couche appelée plaque dentaire. C’est le point de départ de la majorité des maladies bucco-dentaires.
Les experts en santé bucco-dentaire s’accordent sur un point : la plaque bactérienne est le principal facteur déclencheur des caries et des maladies des gencives. Elle peut apparaître très rapidement après un repas. Si elle n’est pas retirée correctement, elle s’accumule et devient plus difficile à éliminer. Avec le temps, elle peut se transformer en tartre, un dépôt dur qui nécessite un détartrage chez le dentiste.
Dans la pratique, les professionnels observent souvent la même situation. Les patients ne ressentent aucune douleur au début. Les signes sont discrets : un léger saignement au brossage, une haleine moins fraîche ou une sensation de dents moins propres. Pourtant, ces signaux indiquent déjà que l’équilibre bactérien de la bouche est perturbé.
Comprendre ces mécanismes permet de saisir pourquoi les risques d’une mauvaise hygiène buccale peuvent évoluer progressivement vers des problèmes plus sérieux si rien n’est corrigé. La bonne nouvelle est que ces situations sont largement évitables grâce à des gestes simples, répétés chaque jour.
Ce qu’on appelle concrètement une mauvaise hygiène buccale
Une mauvaise hygiène buccale ne signifie pas seulement oublier de se brosser les dents de temps en temps. Dans la réalité, elle correspond souvent à plusieurs erreurs cumulées :
- brossage trop rapide ou incomplet
- absence de nettoyage entre les dents
- accumulation de plaque dentaire près des gencives
- contrôle dentaire trop rare
- alimentation riche en sucres fréquents
Selon les retours d’expérience des praticiens, l’erreur la plus fréquente reste un brossage trop court. Beaucoup de personnes pensent se brosser correctement les dents alors que la durée réelle est souvent inférieure à une minute. Les recommandations professionnelles évoquent généralement environ deux minutes de brossage, deux fois par jour.
Autre point souvent ignoré : la zone la plus critique se situe le long de la gencive. C’est précisément là que les bactéries s’accumulent. Lorsque cette zone n’est pas correctement nettoyée, l’inflammation des gencives peut apparaître. Dans ce contexte, les risques d’une mauvaise hygiène buccale augmentent progressivement. Au départ, les conséquences restent limitées. Mais avec le temps, les bactéries peuvent provoquer caries, gingivites et infections plus profondes.
Comment la plaque dentaire et le tartre s’installent
La plaque dentaire se forme très vite. Quelques heures après un repas, des bactéries présentes dans la bouche se mélangent aux résidus alimentaires et à la salive. Cela crée un biofilm collant et invisible qui adhère à la surface des dents. Si ce film bactérien n’est pas retiré mécaniquement par le brossage, il continue de se développer. Les bactéries consomment les sucres alimentaires et produisent des acides. Ces acides attaquent progressivement l’émail des dents. Le processus se déroule généralement en plusieurs étapes :
| Étape | Ce qui se passe | Conséquence possible |
|---|---|---|
| 1 | Formation de plaque bactérienne | dépôt invisible sur les dents |
| 2 | Accumulation autour des gencives | inflammation gingivale |
| 3 | Minéralisation de la plaque | formation de tartre |
| 4 | Bactéries plus agressives | caries ou maladies parodontales |
Le tartre apparaît lorsque la plaque dentaire reste trop longtemps en place. Les minéraux présents dans la salive durcissent la plaque et créent un dépôt solide. Contrairement à la plaque, le tartre ne peut plus être éliminé avec une simple brosse à dents. Il nécessite un détartrage professionnel. C’est pour cette raison que les spécialistes rappellent que le brossage quotidien est le moyen le plus simple de limiter les risques d’une mauvaise hygiène buccale. Il empêche la plaque de rester suffisamment longtemps pour se transformer en tartre.
Pourquoi les problèmes commencent souvent sans douleur
Un point surprend souvent les patients : les maladies bucco-dentaires débutent presque toujours sans douleur. C’est ce qui explique pourquoi beaucoup de personnes sous-estiment les risques d’une mauvaise hygiène buccale. Au début, les tissus de la bouche s’adaptent à la présence des bactéries. Les premiers signes restent discrets :
- gencives légèrement rouges
- saignement pendant le brossage
- haleine plus forte au réveil
- dépôts près des gencives
Ces symptômes sont parfois ignorés. Pourtant, ils indiquent déjà une inflammation gingivale. Les experts expliquent que la gingivite peut rester indolore pendant longtemps. Ce n’est qu’à un stade plus avancé que les douleurs apparaissent. Selon les retours d’expérience des dentistes, beaucoup de patients consultent lorsque les symptômes deviennent gênants : douleur, sensibilité dentaire ou mobilité des dents. À ce stade, les soins peuvent être plus longs et plus complexes.
Comprendre ce mécanisme est essentiel. Les risques d’une mauvaise hygiène buccale évoluent lentement mais continuellement. Ce caractère silencieux explique pourquoi la prévention reste la stratégie la plus efficace. Un brossage régulier, un nettoyage interdentaire et des contrôles dentaires périodiques permettent généralement d’éviter que ces problèmes ne s’installent durablement.
Les principaux risques d’une mauvaise hygiène buccale

Les risques d’une mauvaise hygiène buccale suivent souvent une progression logique. Tout commence par la plaque dentaire. Puis apparaissent des inflammations des gencives, des caries ou des infections plus profondes. Sans correction des habitudes d’hygiène, ces problèmes peuvent évoluer vers des atteintes plus sérieuses qui touchent les tissus de soutien des dents. Les professionnels de santé bucco-dentaire observent régulièrement le même scénario : un problème discret au départ devient plus complexe à traiter avec le temps. C’est pour cette raison que comprendre les principales conséquences d’une hygiène insuffisante permet d’agir avant que les traitements ne deviennent plus lourds.
Les caries dentaires : le risque le plus connu
La carie est l’un des risques d’une mauvaise hygiène buccale les plus fréquents. Elle apparaît lorsque les bactéries présentes dans la plaque dentaire transforment les sucres alimentaires en acides. Ces acides attaquent progressivement l’émail de la dent. Au début, la carie reste invisible. Elle peut se limiter à une petite déminéralisation de l’émail. À ce stade, il n’y a souvent aucune douleur. C’est ce qui explique pourquoi certaines caries évoluent pendant plusieurs mois avant d’être détectées. Si la situation continue, l’atteinte progresse vers la dentine puis vers la pulpe dentaire. Les symptômes deviennent alors plus évidents :
- sensibilité au froid ou au sucre
- douleur lors de la mastication
- apparition d’une cavité visible
Dans les cas avancés, l’infection peut atteindre le nerf de la dent. Le traitement devient alors plus lourd : déviation vers un traitement de racine ou une extraction. Les experts s’accordent sur un point simple : un brossage régulier permet d’éliminer la plaque bactérienne avant qu’elle n’endommage l’émail. C’est pourquoi une bonne hygiène bucco-dentaire reste le moyen le plus efficace de prévenir les caries.
Gingivite : quand les gencives commencent à s’enflammer
Parmi les risques d’une mauvaise hygiène buccale, la gingivite est souvent le premier problème qui apparaît au niveau des gencives. Elle correspond à une inflammation superficielle du tissu gingival. Elle se manifeste généralement par plusieurs signes faciles à repérer :
- gencives rouges ou plus foncées
- gonflement du tissu gingival
- saignement lors du brossage
- sensation de gêne ou de sensibilité au niveau des gencives
La cause principale est l’accumulation de plaque dentaire le long du rebord gingival. Les bactéries présentes dans cette plaque libèrent des toxines qui irritent les tissus. Beaucoup de patients considèrent le saignement au brossage comme normal. En réalité, une gencive saine ne saigne généralement pas. La bonne nouvelle est que la gingivite reste réversible dans la majorité des cas. Lorsque la plaque bactérienne est éliminée efficacement par le brossage et le nettoyage interdentaire, l’inflammation peut disparaître. C’est une étape importante. Si rien n’est corrigé, les risques d’une mauvaise hygiène buccale peuvent évoluer vers une maladie plus profonde : la parodontite.
Parodontite : le stade à ne pas laisser s’installer
La parodontite représente une évolution plus avancée des maladies des gencives. Elle fait partie des risques d’une mauvaise hygiène buccale les plus sérieux. La différence principale entre gingivite et parodontite concerne la profondeur de l’atteinte.
| Problème | Zone touchée | Conséquence |
|---|---|---|
| Gingivite | gencive superficielle | inflammation réversible |
| Parodontite | gencive + os autour de la dent | destruction progressive du support dentaire |
Dans la parodontite, les bactéries pénètrent sous la gencive. Elles provoquent une inflammation chronique qui peut progressivement détruire les tissus qui maintiennent la dent en place. Les symptômes peuvent inclure :
- gencives qui se rétractent
- dents plus longues visuellement
- sensibilité accrue
- poches parodontales autour des dents
- mobilité dentaire progressive
Les spécialistes rappellent que la parodontite peut évoluer pendant longtemps sans douleur importante. C’est pour cela qu’elle est parfois diagnostiquée tardivement. Sans prise en charge, cette maladie peut aboutir à une perte de dents. Elle nécessite alors des traitements plus complexes comme un surfaçage radiculaire ou une chirurgie parodontale.
Mauvaise haleine : un signal d’alerte fréquent
La mauvaise haleine, appelée aussi halitose, est souvent l’un des premiers signes visibles des risques d’une mauvaise hygiène buccale. Dans la majorité des cas, elle est liée à l’activité de bactéries présentes dans la bouche. Ces bactéries dégradent les résidus alimentaires et produisent des composés soufrés volatils. Ce sont eux qui créent l’odeur désagréable. Plusieurs facteurs peuvent favoriser cette situation :
- accumulation de plaque dentaire
- dépôt bactérien sur la langue
- présence de caries ou d’inflammation gingivale
- sécheresse buccale
Beaucoup de personnes tentent de masquer le problème avec des chewing-gums ou des bains de bouche. Pourtant, ces solutions ne traitent pas toujours la cause. Les experts expliquent que le nettoyage mécanique reste la méthode la plus efficace :
- brossage des dents
- nettoyage entre les dents
- brossage ou gratte-langue
Lorsque l’haleine reste persistante malgré une hygiène correcte, un examen dentaire peut être utile pour rechercher une infection ou une maladie gingivale.
Déchaussement, mobilité dentaire et perte de dents
Les stades avancés des risques d’une mauvaise hygiène buccale peuvent conduire à un déchaussement dentaire. Ce phénomène correspond à une rétraction progressive des gencives et à une perte du support osseux autour des dents. Au début, les signes restent discrets :
- dents qui paraissent plus longues
- espace visible entre les dents et la gencive
- sensibilité au froid ou au chaud
Avec le temps, l’os qui maintient la dent peut être progressivement détruit par l’inflammation chronique. La dent devient alors moins stable. Les conséquences peuvent être importantes :
- mobilité dentaire
- difficulté à mâcher certains aliments
- déplacement des dents
- perte d’une ou plusieurs dents
Les maladies parodontales sévères représentent aujourd’hui une cause majeure de perte dentaire chez l’adulte. Au-delà de l’aspect esthétique, la perte de dents peut avoir un impact fonctionnel. Elle modifie la mastication et peut nécessiter des traitements plus complexes comme des implants ou des prothèses. C’est pourquoi les spécialistes insistent sur un point clé : agir tôt permet d’éviter la majorité des complications liées aux risques d’une mauvaise hygiène buccale. Un simple contrôle régulier et une routine d’hygiène efficace permettent souvent d’éviter ces situations.
Quels sont les signes d’alerte à ne pas ignorer ?

Les risques d’une mauvaise hygiène buccale ne deviennent pas graves du jour au lendemain. La bouche envoie presque toujours des signaux avant que les problèmes ne s’aggravent. Le problème, c’est que ces signes sont souvent considérés comme anodins. Beaucoup de personnes pensent que saigner un peu au brossage ou avoir une haleine moins fraîche est normal. En réalité, ces symptômes indiquent souvent que la plaque bactérienne s’accumule et que les tissus de la bouche commencent à réagir.
Les chirurgiens-dentistes observent régulièrement la même situation. Les premiers signes sont présents depuis longtemps, mais ils sont ignorés. Comprendre ces signaux permet d’agir tôt et d’éviter que les risques d’une mauvaise hygiène buccale ne progressent vers des problèmes plus complexes comme la parodontite ou la perte de dents.
Gencives qui saignent au brossage
Le saignement des gencives est l’un des signes les plus fréquents d’un problème d’hygiène buccale. Beaucoup de personnes pensent qu’elles brossent trop fort. En réalité, c’est souvent l’inverse. Les experts s’accordent sur un point : une gencive saine ne saigne généralement pas lors d’un brossage normal. Le saignement apparaît lorsque la plaque bactérienne s’accumule au niveau du bord gingival. Les bactéries libèrent des toxines qui irritent les tissus. Les signes les plus courants sont :
- saignement visible sur la brosse à dents
- traces de sang lors du rinçage
- gencives sensibles au toucher
Selon les retours d’expérience des praticiens, ce symptôme est souvent le premier indicateur des risques d’une mauvaise hygiène buccale. La bonne nouvelle est qu’à ce stade, la situation reste souvent réversible. Un brossage plus efficace et un nettoyage interdentaire régulier peuvent suffire à réduire l’inflammation.
Mauvaise haleine qui revient souvent
Une haleine désagréable persistante est un autre signal fréquent. Elle est souvent liée à l’activité de bactéries présentes dans la bouche. Ces bactéries dégradent les résidus alimentaires et produisent des composés soufrés volatils. Ce sont eux qui créent l’odeur caractéristique. Plusieurs situations favorisent ce phénomène :
- plaque dentaire accumulée
- bactéries sur la langue
- inflammation des gencives
- caries non détectées
Beaucoup de personnes tentent de masquer le problème avec des chewing-gums ou des sprays. Cela peut améliorer l’odeur temporairement, mais cela ne traite pas la cause réelle. Les spécialistes expliquent que l’halitose persistante fait souvent partie des premiers signaux des risques d’une mauvaise hygiène buccale. Lorsque le brossage des dents et de la langue est amélioré, l’haleine s’améliore généralement rapidement. Si l’odeur reste présente malgré une hygiène correcte, un examen dentaire peut être nécessaire pour rechercher une infection.
Sensibilité dentaire ou douleurs localisées
Une dent sensible au froid, au chaud ou au sucre peut être un signe d’alerte. Cette sensibilité apparaît lorsque l’émail s’affaiblit ou lorsque la dentine devient exposée. Dans le contexte des risques d’une mauvaise hygiène buccale, plusieurs causes sont possibles :
- début de carie
- inflammation gingivale
- rétraction des gencives
- accumulation de tartre
Les sensations peuvent varier :
- douleur brève au contact d’un aliment froid
- sensibilité lors du brossage
- gêne lors de la mastication
Les dentistes constatent souvent que les patients consultent uniquement lorsque la douleur devient plus forte. Pourtant, une sensibilité dentaire est déjà un signal à prendre au sérieux. Une consultation permet d’identifier la cause précise et d’éviter que la situation ne s’aggrave.
Dépôts visibles, tartre, dents qui paraissent plus longues
Certains signes sont visibles directement dans le miroir. Ils indiquent souvent que les risques d’une mauvaise hygiène buccale commencent à évoluer. Parmi les signes les plus fréquents :
- dépôts jaunâtres ou brunâtres près des gencives
- accumulation de tartre
- dents qui semblent plus longues qu’avant
Le tartre apparaît lorsque la plaque dentaire reste trop longtemps sur les dents. Les minéraux présents dans la salive durcissent la plaque et créent un dépôt solide. Contrairement à la plaque, le tartre ne peut pas être retiré avec une simple brosse à dents. Un détartrage professionnel est nécessaire. Les dents qui paraissent plus longues peuvent indiquer une rétraction des gencives, parfois liée à une inflammation chronique. Ce phénomène peut être un signe précoce de maladie parodontale.
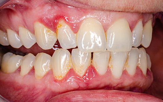
Gencives rouges, gonflées ou douloureuses
Des gencives saines ont généralement une couleur rose pâle et une texture ferme. Lorsqu’elles deviennent rouges, gonflées ou sensibles, cela indique souvent une inflammation. Ce phénomène est appelé gingivite. Il apparaît lorsque les bactéries présentes dans la plaque irritent les tissus gingivaux. Les symptômes les plus fréquents sont :
- gencives rouges ou violacées
- gonflement visible
- douleur légère lors du brossage
- sensation de tension dans les gencives
Les spécialistes rappellent que ces symptômes sont souvent les premiers indicateurs des risques d’une mauvaise hygiène buccale. La gingivite reste généralement réversible si la plaque bactérienne est éliminée rapidement. Sans correction de l’hygiène bucco-dentaire, l’inflammation peut progresser vers une parodontite. Cette maladie atteint les tissus qui maintiennent la dent en place. C’est pour cette raison que repérer ces signes tôt est essentiel. Une amélioration de l’hygiène et un contrôle dentaire permettent souvent d’éviter que la situation ne devienne plus complexe à traiter.
Quelles conséquences sur la santé générale ?
Les risques d’une mauvaise hygiène buccale ne concernent pas uniquement les dents. La bouche fait partie du corps. Elle est reliée au système digestif, au système immunitaire et à la circulation sanguine. Lorsqu’un problème bucco-dentaire s’installe, il peut donc avoir des répercussions plus larges sur la santé et le bien-être. Il est important de rester précis. Les spécialistes ne disent pas qu’une mauvaise hygiène buccale provoque directement certaines maladies générales. En revanche, des liens existent entre la santé bucco-dentaire et la santé globale. C’est pour cette raison que les autorités de santé insistent sur la prévention et sur un suivi régulier. Les risques d’une mauvaise hygiène buccale doivent donc être compris dans une vision globale : préserver la santé de la bouche contribue aussi à préserver l’équilibre général de l’organisme.
Pourquoi la santé bucco-dentaire ne doit pas être isolée du reste
La bouche constitue l’une des principales portes d’entrée des bactéries dans l’organisme. Chaque jour, des centaines d’espèces bactériennes vivent naturellement dans la cavité buccale. Dans un environnement sain, cet équilibre est stable. Lorsque l’hygiène bucco-dentaire devient insuffisante, la plaque bactérienne augmente. Certaines bactéries deviennent plus nombreuses et plus agressives. Elles peuvent provoquer des inflammations locales, notamment au niveau des gencives. Il ne faut pas simplifier ce phénomène. Les chercheurs parlent plutôt d’interactions entre santé bucco-dentaire et santé générale. Cela signifie que plusieurs facteurs se combinent : hygiène buccale, alimentation, tabac, état de santé global ou système immunitaire.
Ce que disent les autorités de santé
Les grandes organisations de santé publique adoptent une position claire et prudente. L’Organisation mondiale de la santé rappelle que les maladies bucco-dentaires figurent parmi les affections les plus répandues dans le monde et qu’elles peuvent avoir un impact important sur la qualité de vie. Selon les données disponibles, plusieurs milliards de personnes seraient concernées par des pathologies bucco-dentaires au cours de leur vie. Les autorités sanitaires soulignent plusieurs points essentiels :
- la santé bucco-dentaire fait partie intégrante de la santé globale
- les maladies des gencives sont associées à une inflammation chronique
- la prévention reste l’approche la plus efficace
Les experts s’accordent également sur un principe simple : la plupart des maladies bucco-dentaires sont évitables grâce à une hygiène quotidienne et à un suivi dentaire régulier.
Dans ce cadre, comprendre les risques d’une mauvaise hygiène buccale permet surtout d’agir en prévention. Un brossage efficace et des contrôles dentaires réguliers permettent de limiter fortement l’apparition de caries, gingivites ou maladies parodontales.
Pourquoi une bouche en mauvaise santé peut aggraver le quotidien
Au-delà des aspects médicaux, les risques d’une mauvaise hygiène buccale peuvent aussi avoir un impact concret sur la vie quotidienne. Les conséquences les plus fréquentes observées par les praticiens sont :
- douleurs dentaires récurrentes
- difficulté à mâcher certains aliments
- gêne lors de la mastication
- mauvaise haleine persistante
- gêne sociale ou perte de confiance
Dans certains cas, les infections dentaires peuvent aussi entraîner des absences au travail ou des consultations médicales urgentes. Les douleurs dentaires figurent d’ailleurs parmi les motifs fréquents de consultation d’urgence en cabinet dentaire. Une bouche en mauvaise santé peut également modifier les habitudes alimentaires. Certaines personnes évitent les aliments durs ou froids à cause de la douleur. Cela peut influencer l’équilibre nutritionnel sur le long terme.
Quand consulter un dentiste ?
Beaucoup de personnes attendent que la douleur devienne forte avant de consulter. Pourtant, dans la majorité des cas, les risques d’une mauvaise hygiène buccale commencent bien avant l’apparition d’une vraie douleur. Les premiers signes sont souvent discrets : saignements, haleine persistante, sensibilité ou dépôts visibles sur les dents.
Les dentistes observent régulièrement la même situation en cabinet : les problèmes auraient pu être traités plus simplement s’ils avaient été détectés plus tôt. Une gingivite, par exemple, peut souvent être corrigée avec une amélioration de l’hygiène et un détartrage. En revanche, une parodontite avancée nécessite des soins plus longs.
Consulter au bon moment permet donc de limiter les complications liées aux risques d’une mauvaise hygiène buccale et d’éviter des traitements plus lourds.
- Si les gencives saignent souvent
- Si l’haleine reste mauvaise malgré une routine correcte
- Si une dent devient sensible, mobile ou douloureuse
- Si vous voyez du tartre ou un déchaussement
À retenir
Consulter un dentiste n’est pas seulement utile en cas de douleur. Les experts recommandent généralement un contrôle régulier afin de détecter les problèmes avant qu’ils ne deviennent plus difficiles à traiter. Cette approche préventive reste aujourd’hui la stratégie la plus efficace pour éviter les complications liées aux risques d’une mauvaise hygiène buccale et conserver des dents et des gencives en bonne santé sur le long terme.
Les centres dentaires Dentimad à Paris

Comprendre les risques d’une mauvaise hygiène buccale est important. Mais agir rapidement l’est encore plus. Lorsque des signes apparaissent, une consultation permet d’identifier la cause et d’éviter que la situation ne s’aggrave.
Les centres dentaires Dentimad à Paris ont justement été pensés pour faciliter l’accès aux soins dentaires et intervenir avant que les problèmes bucco-dentaires ne deviennent plus lourds à traiter. L’objectif est simple : diagnostiquer tôt, traiter efficacement et accompagner les patients dans l’amélioration de leur hygiène bucco-dentaire.
Les centres dentaires Dentimad à Paris accompagnent les patients à chaque étape : prévention, diagnostic et traitement. Une consultation régulière permet d’identifier rapidement les signes d’alerte et d’éviter que les risques d’une mauvaise hygiène buccale ne se transforment en problèmes plus importants pour la santé des dents et des gencives.

